Unser Vorgehen bei Kniearthrose

Diese Fragen klären wir bevor wir eine Behandlung empfehlen:

Was ist Ihr Anliegen? Welcher Art sind Ihre Beschwerden?

Damit wir wissen was Ihnen wichtig ist und die Untersuchung entsprechende planen können, bespreche wir vorab Ihr Anliegen und den bisherigen Verlauf. Wie lange bestehen Ihre Beschwerden, wie äußern sie sich? Steht einer Operation im Raum oder ist es Ihnen wichtig die aktuellen Behandlungen in der Intensität zu verbessern?

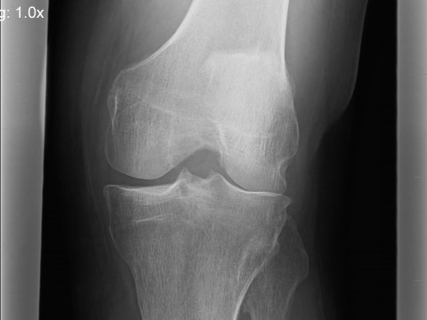
Welche Gelenkstrukturen sind betroffen? Besteht zusätzlich eine Entzündung?

Zunächst versuchen wir das Gelenk im Detail anzuschauen. Wie stellen sich Knorpel, Meniskus, Bänder und Gelenkschleimhaut dar? In welchem Ausmaß und in welchem Bereich des Gelenkes finden sich Veränderungen? Hierzu können wir auch vorhandene Unterlagen (MRT, Röntgen) nutzen oder gegebenenfalls ergänzen. Zur aktuellen Einschätzung von Entzündung oder Reizung führen wir zusätzlich eine hochauflösende Ultraschalluntersuchung des Kniegelenkes in verschiedenen Positionen durch.

Wie wird die Kniemuskulatur aktiviert?

Eine dysbalancierte oder unzureichende Aktivierung der Kniemuskulatur führt zu einer ungünstigen Gelenkbelastung und kann Zeichen einer gestörten Kniefunktion sein, ihrerseits aber auch Beschwerden verursachen.

Weitere Informationen:
EMG Untersuchung des Kniegelenks

Besteht eine ausreichende Stabilität und Beweglichkeit?

Beides, eine eingeschränkte oder eine zu große Beweglichkeit, kann die Abnutzung der Kniegelenke ungünstig beeinflußen.
In der körperlichen Untersuchung wird dies zunächst manuell geprüft, zusätzlich erfogen Tests zur Überprüfung des Meniskus, der Sehnen und Bänder.

Arbeitet die Kraft der Kniemuskulatur ausreichend und symmetrisch?

Eine ungünstige oder nicht ausreichende Kraft der Kniemuskulatur kann die Arthrose im Gelenk fördern, eine gute und symmetrische Kraft kann zur Entlastung des Gelenkes beitragen. Oft hat sich aufgrund der Schmerzen eine leichte Rückbildung des Muskels entwickelt und verstärkt die Fehlbelastung. Dies gilt es in der Untersuchung herauszufinden und in der Therapie gezielt zu berücksichtigen.

Weitere Informationen:
Kraftdiagnostik der Kniemuskulatur.

Welche Kräfte wirken auf das Gelenk? Gibt es Fehlbelastungen?

Besonders wichtig sind die Kraftwerte bei Veränderungen der Beinachse (z.B. X-/O-Bein) oder Beschwerden die mehr außen oder innen am Kniegelenk auftreten. Auch bei Meniskusbeschwerden oder lokalen Knorpelschäden kann eine einseitige Belastung des Gelenkes die Ursache sein.

Weitere Informationen: 
Analyse der Gelenkkräfte

Wie bewegen Sie sich? Enstehen im Gehen ungünstige Belastungen?

Manche Menschen haben eine ungünstige, z.T. auch verdrehte Bewegung des Beines im Gehen und Laufen. Auch dies kann zu Beschwerden und Abnutzungen führen.

Weitere Informationen:
Synchronisierte Video-Ganganalyse.

Enstehen Fehlbelastungen der Kniegelenke ausgehend vom Fuß?

Über den Fuß und den Abrollvorgang werden die Kräfte beim Gehen und Stehen in das Knie eingeleitet. Besonders bei Beschwerden beim Gehen und Laufen kann vom Fuß eine wesentliche Fehlbelastung ausgehen.

Weitere Informationen:
Fußabdruckmessung (Pedographie).

Haben die Beckenhaltung und ihre Standposition ungünstige Auswirkungen auf das Kniegelenk?

Im Stand und im Stehen auf einem Bein, aber auch die Gesamtstatik beeinflussen die Belastung der Kniegelenke. Fehlbelastungen können erhebliche Auswirkungen haben.

Weitere Informationen:
3D/ 4D Wirbelsäulenanalyse.

Bestehen fortgeleitete Funktionsstörungen von andern Gelenken oder Organen?

Funktionsstörungen anderer Gelenke, z.B. vom Fuß oder Hüftgelenk können durch ungünstige Spannungen die Belastung des Kniegelenkes ungünstig beeinflussen. Gelegentlich bestehen über die bindegewebigen Hüllen (Fascien) auch ungünstige Einflüsse aus den inneren Organen. Mit einer osteopathischen Untersuchung können diese Zusammenhänge gezielt untersucht werden.

Noch genauer: Komplexe sportmedizinische Ganganalyse (Motion capture)

Am Anfang einer Arthrose oder bei nur leichten Veränderungen am Meniskus oder Knorpel kann die Fehlbelastung noch sehr dezent sein. Manchmal entstehen die Beschwerden dann nur bei sehr langen Belastungen, im Bergabgehen oder längerem Wandern bzw. Joggen.
Mit einer komplexen Ganganalyse lassen sich über die hochfrequenten Aufnahmen bereits kleinste Veränderungen im Gang entdecken.

Weitere Informationen:
Komplexe Motion-Capture Ganganalyse.

Terminanfrage Kniearthrose

loading...